Ogledi: 0 Avtor: Urednik mesta Čas objave: 2025-03-06 Izvor: Spletno mesto
Zlomi distalnega radiusa predstavljajo 75 % zlomov podlakti in so še posebej pogosti v kliniki. V tem članku smo za vašo referenco sestavili seznam anatomije, klasifikacije, strategij zdravljenja in kirurških pristopov pri zlomih distalnega radiusa.
Zlomi distalnega radiusa so del zlomov zapestja. ' Teorija treh stebrov' lahko bolje pojasni patološki mehanizem zlomov zapestja, pri katerem je radialni steber, ki ga sestavljata radialna tuberosity in navikularna fosa, pomemben za ohranjanje stabilnosti zapestnega sklepa.

Vsi distalni zlomi radiusa, z izjemo avulzijskih zlomov dorzalnega roba radiusa, so dejansko posledica silovitosti prekomerne ekstenzije. Roka je drugače postavljena, ko nanjo delujejo zunanje sile, in učinki zunanjih sil so drugačni.
1. Silovito upogibanje lahko povzroči dorzalno premaknjene intra- ali zunajsklepne zlome pri nizkoenergijskih poškodbah, kot so padci.
2. Strižna obremenitev lahko povzroči delni premik sklepnih površin na dlančni strani, kar povzroči nestabilnost.
3. Pri visokoenergijskih poškodbah prevladuje kompresijska sila in prekomerna aksialna obremenitev vodi do kompresije sklepne površine kosti.
4. Primarni mehanizem dislokacije zloma je avulzijska poškodba, pri kateri je raztrgana kostna masa običajno kostna pritrdilna točka ligamenta.


Metafizni fleksijski zlom tipa I

Sklepni in strižni zlom tipa II

Kompresijski zlom sklepne površine tipa III

Tip IV avulzijski zlom radialnega zapestja, izpah

Mešani zlomi tipa V (visokoenergijski avulzijski zlomi)

Večino zlomov distalnega radiusa zdravimo z zaviranjem po zaprti repoziciji, na žalost bo veliko teh zlomov zamaknjenih ali pa repozicija ne bo sprejemljiva s slabim izidom.
LaFontaine et al so opredelili pet dejavnikov destabilizacije:
① Začetni dorzalni kot > 20° (nagib dlani);
② Zdrobljen zlom dorzalne epifize;
③ zlom v sklepu;
④ Povezani zlom ulnarja;
⑤ Pacientova starost > 60 let.
Ni dokončnih standardov ali smernic, ki bi vodile zdravljenje, načrti zdravljenja pa so izdelani ob upoštevanju številnih dejavnikov, vključno z začetnimi značilnostmi poškodbe, umerjanjem po repoziciji, starostjo bolnika, kakovostjo kosti, zahtevami bolnika in želenimi rezultati.
Za zaprto repozicijo zlomov s sumom na stabilnost je priporočljivo skrbno spremljanje. Pomembno je vedeti, da če niz rentgenskih žarkov po zmanjšanju kaže na nestabilnost ali premik, bo morda potrebna sprememba zdravljenja. Če je zlom potencialno nestabilen, je treba opraviti radiografijo in jo oceniti, dokler se zlom ne zaceli in stabilizira.
Stabilne zlome lahko uspešno zapremo in zdravimo z zaviranjem, sprva z opornico in kasneje s cevastim mavcem, s tedenskimi radiografijami do 3 tedne.

Če pride do pomembnih sprememb radialne dolžine, naklona dlani ali ulnarne deviacije, je treba razmisliti o kirurškem zdravljenju.
Pri slabotnih bolnikih in bolnikih z majhnimi zahtevami je zaprto zdravljenje pogosto primerno, tudi če je indiciran kirurški poseg.
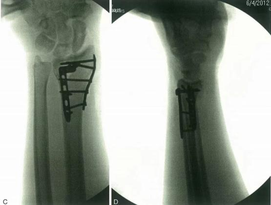
Zaprta redukcija, ki ji sledita perkutana pritrditev in fiksacija, je uporabna pri zlomih distalnega radiusa z metafizno nestabilnostjo ali preprostih intraartikularnih zlomih.

Prvi korak je anatomska repozicija, nato se izvede stabilizacija z gram zatiči. Običajno je prvi zatič prepeljan od radialnega stiloida do radialne metafize medialno do diafize.
Za zagotavljanje ustrezne stabilne repozicionacije v pravokotnem in bočnem položaju se uporabita najmanj 2 zatiča, po želji pa lahko lunatno faseto zapnete.
Intrafrakturna fiksacija (Kapanji tehnika) zagotavlja dorzalno oporo. Pooperativna imobilizacija v opornici se uporablja za 2 tedna za nadzor rotacije in zmanjšanje draženja zatiča, nato pa se lahko nadomesti z mehkim mavcem za podlaket.
Opornice za zunanjo fiksacijo so uporabne za začetno ali dodatno zdravljenje pri specifičnih zlomih distalnega radiusa.

Zunanji fiksator nevtralizira aksialne napetosti, ki delujejo na distalni radius med kontrakcijo mišičnih skupin podlakti. Pritrditev je lahko čez zapestje ali pa ne ali pa je dodana dodatna fiksacija.
Vzporedni vlek ne obnovi popolnoma naklona dlani, vendar je nevtralni položaj sprejemljiv. Pooperativno je zapestje upeto v cevast mavec v rotiranem posteriornem položaju 10 dni, dokler bolečina in edem ne popustita.

Naredi se raven rez vzdolž Listerjevega vozla, pri čemer distalni konec prečka linijo radialnega karpalnega sklepa in se konča 1 cm proksimalno od baze drugega metakarpalnega zapestnega sklepa. Proksimalni konec se razteza vzdolž radialnega stebla za 3 do 4 cm, pri čemer je srednji steber izpostavljen skozi dno tretjega ekstenzorskega intervala.



Naredi se vzdolžni rez vzdolž radialne tetive upogibalke zapestja, pri čemer se tetiva upogibalke zapestja nahaja na globoki površini tetive radialne upogibalke zapestja, ki se ulnarno umakne, da se izpostavi sprednja mišica rotator ani, sprednja mišica rotator ani pa se odreže na začetku radialne strani in povleče ulnarno, da se izpostavi distalni konec radiusa.
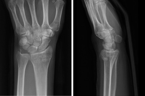
Primer ①


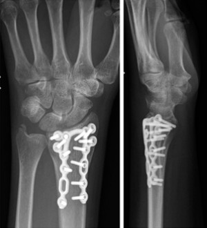
Primer ②


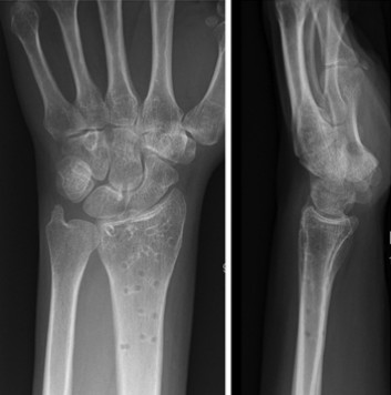
Primer ③


- 4-cm vzdolžni rez se naredi dorzalno na tretje metakarpalno steblo in tetiva iztegovalke sredinca se skrči, da se izpostavi tretja metakarpalna stebla;
- Drugi 4-cm rez se naredi vsaj 4 cm dorzalno od zdrobljenega polmera;
- Tretji 2-cm dorzalni rez se naredi na Listerjevem vozlu, da se izpostavi tetiva extensor hallucis longus.

Iz distalnega reza se vlečna plošča vstavi proksimalno vzdolž ravnine med tetivo ekstenzorja (četrti dorzalni predel), sklepno ovojnico in pokostnico. Tetivo iztegovalke lahko po potrebi premaknemo.


5 najpogostejših dragih napak distributerjev pri zamenjavi dobaviteljev ortopedskih izdelkov
7 najboljših ocenjevalnih meril za izbiro ortopedskih dobaviteljev v letu 2026
Dobavitelji ortopedskih izdelkov: Praktični vodnik za preverjanje vsadkov in instrumentov v ZDA
Najboljši ortopedski dobavitelji (2026): Distributerjeva merila – prva uvrstitev
Kako najti stroškovno učinkovite ortopedske dobavitelje brez kompromisov glede kakovosti
Ortopedska bela knjiga o nabavi OEM ODM za latinskoameriške distributerje
10 najboljših meril za dobavitelje ortopedskih OEM za bolnišnice (2026)
5 največjih prebojev v sistemih za fiksacijo hrbtenice za leto 2026
Kontakt